【MATLAB图像分割结果可视化】利用伪彩色更好的展示你的分割结果(含代码)

article/2025/10/18 16:07:44

【MATLAB图像分割结果可视化】利用伪彩色更好的展示你的分割结果(含代码)

  • 古典方法
    • 初级
    • 高级
  • 终极方法
    • 函数
    • 测试
  • 其他

by HPC_ZY

今天不飞了,一起写代码吧。做图像分割、目标检测、物体识别的老铁都会遇到,在得到结果之后需要显示mask或label,为了简便经常就直接imshow了。有时候这样做并不是那么直观,今天就给大家分享一种直接在原图上利用伪彩色高亮分割结果的方法(如下图)。

在这里插入图片描述


古典方法

注:后续代码中的im,mask,label分别为原图(归一化),目标蒙板(0,1),目标标签(非负整数,0为背景)

初级

最简单的单独显示法,也是我平时调试检查中间结果最爱用的方式,突出一个快速。

% 显示
figure
subplot(1,3,1), imshow(im)
subplot(1,3,2), imshow(mask)
subplot(1,3,3), imagesc(label)

结果如下
在这里插入图片描述

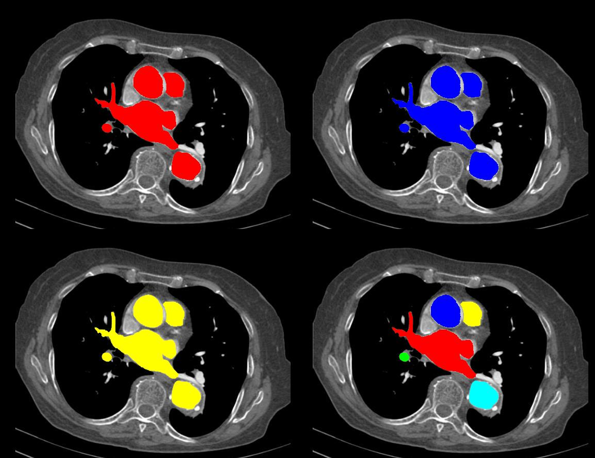
高级

彩色图合成法,为了展示给他人看时,通过把图像、蒙板放入特定的通道实现同图显示。
这个方法针对灰度图(目标类别少)性能比还是挺高的,面对彩色图或目标类别较多时就有点不够看了

% 我想显示成红色
imout1 = cat(3,im+mask,im-mask,im-mask);
% 我想显示成绿
imout2 = cat(3,im-mask,im-mask,im+mask);
% 我想显示成金色
imout3 = cat(3,im+mask,im+mask,im-mask);% 每种显示不同颜色(累死了)
imout = cat(3,im,im,im);
imout = cat(3,imout(:,:,1)+(label==1),imout(:,:,2)-(label==1),imout(:,:,3)-(label==1));
imout = cat(3,imout(:,:,1)-(label==2),imout(:,:,2)+(label==2),imout(:,:,3)-(label==2));
imout = cat(3,imout(:,:,1)-(label==3),imout(:,:,2)-(label==3),imout(:,:,3)+(label==3));
imout = cat(3,imout(:,:,1)+(label==4),imout(:,:,2)+(label==4),imout(:,:,3)-(label==4));
imout = cat(3,imout(:,:,1)-(label==5),imout(:,:,2)+(label==5),imout(:,:,3)+(label==5));% 显示
figure
subplot(2,2,1), imshow(imout1)
subplot(2,2,2), imshow(imout2)
subplot(2,2,3), imshow(imout3)
subplot(2,2,4), imshow(imout)

结果如下
在这里插入图片描述

这个例子只有5个标签,要是有50个……


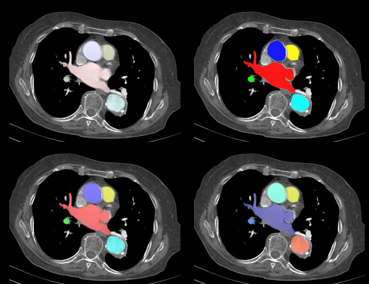
终极方法

原理其实就是类似上述“高级方法”,再搭配“光线投射原理”,就能实现可自由调节透明度的彩色图目标标记方法了。废话不多说,直接上代码,欢迎copy。

函数

% img-原始图像(灰度或彩色)
% label-目标标签(非负整数)
% color-每个类的颜色(大小为N*3的矩阵)
% alpha-每个类颜色的不透明度(N*1的矩阵)
function colorimg = drawlabel2image(img,label,color,alpha)[row,col,dim] = size(img);
% 检测是灰度图还是彩色图
if dim==1img = cat(3,img,img,img);
elseif dim==3
elseerror('请输入灰度图或RGB图')
end% 预处理
img = im2double(img);
label = uint16(label);
nlabel = max(label(:));% color修正:如果"分类数量>提供的颜色",会利用循环自动增加颜色
while size(color,1)<nlabelcolor = cat(1,color,color);
end
% color修正:如果"分类数量<<提供的颜色",会利用循环自动分配颜色
if size(color,1)>2*nlabelgap = floor(size(color,1)/nlabel);color = color(1:gap:end,:);
end
% alpha修正:如果"分类数量>提供的透明度",会利用循环自动增加透明度
alpha = alpha(:);
while length(alpha)<nlabelalpha = cat(1,alpha,alpha);
end% 保留背景(非目标部分)
mask = double(label>0);
bg = img.*double(~mask);% 各label上色
obj = zeros(row,col,3,nlabel);
for idx = 1:nlabelobjmask = double(label==idx);    R = img(:,:,1).*objmask*(1-alpha(idx))+objmask*color(idx,1)*alpha(idx);G = img(:,:,2).*objmask*(1-alpha(idx))+objmask*color(idx,2)*alpha(idx);B = img(:,:,3).*objmask*(1-alpha(idx))+objmask*color(idx,3)*alpha(idx);obj(:,:,:,idx) = cat(3,R,G,B);
endcolorimg = sum(obj,4)+bg;end

由于时间原因,没有加上判断输入数据是否符合要求的语句。所以,直接使用上述代码的话,不要故意用不合法的数据进行测试。

测试

% 自己调色,美滋滋
color1 = [1,0,0; 0,1,0; 0,0,1; 1,1,0; 0,1,1];
alpha1 = 0.1;
colorimg1 = drawlabel2image(im,label,color1,alpha1);color2 = [1,0,0; 0,1,0; 0,0,1; 1,1,0; 0,1,1];
alpha2 = 0.9;
colorimg2 = drawlabel2image(im,label,color2,alpha2);color3 = [1,0,0; 0,1,0; 0,0,1; 1,1,0; 0,1,1];
alpha3 = 0.5;
colorimg3 = drawlabel2image(im,label,color3,alpha3);% 不想配色,直接用MATLAB自带的colormap
color4 = jet; % matlab自带
alpha4 = 0.5;
colorimg4 = drawlabel2image(im,label,color4,alpha4);% 显示
figure
subplot(2,2,1), imshow(colorimg1)
subplot(2,2,2), imshow(colorimg2)
subplot(2,2,3), imshow(colorimg3)
subplot(2,2,4), imshow(colorimg4)

结果如下

在这里插入图片描述

灵活运用就能

大脑分区

其他

  1. 如果输入数据符合要求,函数报错(真有bug)可评论区告诉我;
  2. 如果有更有趣或更实用的想法,欢迎留言,可考虑为你实现;
  3. 文中实验数据来自百度图片

http://chatgpt.dhexx.cn/article/ifbGAD11.shtml

相关文章

图像处理(第九章彩色图像处理,彩色模型、RGB、HSI、YCbCr、伪彩色处理、全彩色图像处理、直方图、平滑、锐化、分割、去红眼)

图像处理第九章彩色图像处理 第九章9.1彩色基础9.1.1色度学基础&#xff08;了解即可&#xff09; 9.2彩色模型9.2.1RGB彩色模型&#xff08;了解即可&#xff09;9.2.2CIE XYZ模型&#xff08;了解即可&#xff09;9.2.3Lab颜色模型&#xff08;了解即可&#xff09;9.2.4HSI彩…

彩色图像--伪彩处理 灰度图转伪彩色图像

学习DIP第68天 转载请标明本文出处&#xff1a;http://blog.csdn.net/tonyshengtan &#xff0c;出于尊重文章作者的劳动&#xff0c;转载请标明出处&#xff01;文章代码已托管&#xff0c;欢迎共同开发&#xff1a;https://github.com/Tony-Tan/DIPpro #开篇废话 观察了一下冈…

C++ 灰度图像伪彩色处理

真彩色是指影像中的物体颜色和人类肉眼所见的颜色非常相似。在黑白影像中全彩则是指物体的明亮程度。但因为颜色染料等媒体的化学等性质和人类肉眼不同&#xff0c;因此不可能得到绝对的真彩色。 伪彩色的概念就是相较于真彩色提出来的。对于灰度图像&#xff0c;我们可以依据不…

偏振融合伪彩色图像(原理)

最近的大作业是基于偏振图像 的HSI伪彩色增强&#xff0c;现把原理进行分享~~&#xff0c;里面有很多公式上传不了进行了截图&#xff0c;特别上传了word&#xff0c;想直接copy公式也OK 指纹识别程序&#xff0c;附带word-机器学习文档类资源-CSDN下载 二、偏振矢量图像融合…

遥感数字图像处理(实验二)——假彩色合成与伪彩色合成(密度分割)

目录 实验内容二&#xff1a; 实验步骤&#xff1a; 一、假彩色合成 1.假彩色合成基本内容 2.假彩色合成的目的 3.Landsat8常见的波段组合形式&#xff0c;表1 二、波段组合 三、伪彩色合成&#xff08;密度分割&#xff09; 1.密度分割基本内容 2.密度分割的用途 3…

Matlab实现伪彩色处理:灰度图像转换为彩色图像

灰度图像可以简单理解为一个灰度值矩阵&#xff0c;其中灰度值的取值范围是[0, 255]&#xff0c;且灰度值为整数。 现在需要将这个灰度值矩阵中的每一个值拆分成3个通道&#xff08;RGB&#xff09;&#xff0c;分别是红色通道&#xff08;red, R&#xff09;、绿色通道&#…

数字图像的类型——伪彩色,真彩色,假彩色

参考&#xff1a; http://blog.sina.com.cn/s/blog_764b1e9d0100t9c8.html 伪彩色图像 同灰度图像一样,也是单波段的图像&#xff0c;但是这个单波段图像是有颜色的&#xff0c;不再是灰度图那样的&#xff0c;而是它的每一个灰度值都对应颜色空间中的某一种颜色。它可以是彩…

matlab实现灰度图像伪彩色处理

1.基于灰度图像的伪彩色处理 代码展示&#xff1a; clear all; close all;I double(rgb2gray(imread(图片1.jpg))); [M N] size(I); I2 zeros(M, N, 3); %初始化三通道for x 1 : Mfor y 1 : Nif I(x, y) < 127 …

伪彩色增强(基于MATLAB)

伪彩色增强(基于MATLAB&#xff09; 本博文参阅《数字图像处理》-杨帆 基于人眼生理视觉系统&#xff0c;对彩色微小差别的敏感程度远大于对灰度差别的敏感程度&#xff0c;彩色增强已经成为一门应用广泛的图像处理技术&#xff0c;其中伪彩色增强技术显得尤为突出。 首先得明…

利用 MATLAB 彩色显示高光谱图像(伪彩色,真彩色)

利用 MATLAB 彩色显示高光谱图像&#xff08;伪彩色&#xff0c;真彩色&#xff09; 前言一、使用imshow函数彩色显示高光谱图像注意事项&#xff1a; 欢迎学习交流&#xff01; 邮箱&#xff1a; z…1…6.com 网站&#xff1a; https://zephyrhours.github.io/ 前言 我们平时…

opencv之伪彩色处理

伪彩色处理 伪彩色&#xff08;pseudo-color)合成是按特定的数学关系把单波段灰度图像的灰度级变成彩色&#xff0c;然后进行彩色显示的方法&#xff0c;其目的是通过数据的彩色表达来增强区分目标的能力。 在图像分割之后&#xff0c;需要对目标进行上色&#xff0c;多数情况…

OpenCV--006:伪彩色:LUT作用与用法

文章目录 一、伪彩色二、LUT1. LUT概念2. 作用3. LUT函数4. LUT应用4.1 颜色空间缩减4.2 图像反转 三、OpenCV&#xff1a;applyColorMap函数 一、伪彩色 伪彩色&#xff08;Pseudo-color&#xff09;图像的每个像素的颜色不是由每个基本色分量的数值直接决定&#xff0c;实际…

【OpenCV 例程300篇】203. 伪彩色图像处理

OpenCV 例程200篇 总目录 201. 图像的颜色空间转换 202. 查表快速替换&#xff08;cv.LUT&#xff09; 203. 伪彩色图像处理 204. 图像的色彩风格滤镜 205. 调节色彩平衡/饱和度/明度 文章目录 【youcans 的 OpenCV 例程300篇】203. 伪彩色图像处理什么是伪彩色图像&#xff1f…

itoa函数和atoi函数

itoa是广泛应用的非标准 C语言扩展函数。由于它不是标准C语言函数&#xff0c;所以不能在所有的 编译器中使用。但是&#xff0c;大多数的编译器&#xff08;如Windows上的&#xff09;通常在<stdlib.h>头文件中包含这个函数。 1说明编辑 功能&#xff1a;将任意类型的数…

C++之spriintf函数(itoa函数)

sprintf函数 头文件&#xff1a;stdio.h 原型 int sprintf( char *buffer, const char *format, [ argument] … ); 参数列表 buffer&#xff1a;char型指针&#xff0c;指向将要写入的字符串的缓冲区。 format&#xff1a;格式化字符串。 [argument]…&#xff1a;可选参数&a…

Vue 艺术字体下载、设置

1&#xff0c;本人常用的下载地址&#xff1a;https://zh.fonts2u.com/ 2&#xff0c;找到你需要的字体点击下载 3&#xff0c;下载完之后有一个ttf文件 4&#xff0c;在vue里面&#xff0c;我个人在assets文件下创建一个文件夹&#xff0c;叫什么名字都行&#xff0c;找到你…

vue下载跨域图片

<a style"color: #409EFF;" click"downImg(url)">下载还款凭证</a>//方法一 &#xff08;只有这种方法解决我的需求&#xff09; downImg(imgsrc) {const src ${imgsrc}?t${new Date().getTime()}fetch(src).then(res > {res.blob().th…

vue点击url链接下载文件

在src下面新建一个downLoadUrl的目录 downLoadUrl / index.js文件 /** 后端返回文件的url,前端创建a标签来下载** 1. 解决了若文件为图片或浏览器支持的格式类型,点击下载会直接打开文件的问题,* 2. 下载文件时,浏览器会有闪动的问题** 页面内使用* 1. 引入指令 import do…

vue文件下载及重命名

本文所讲的下载地址格式为&#xff1a;地址文件名&#xff08;例如&#xff1a;http... test.docx&#xff09; 页面代码&#xff1a; <!--map为所下载的文件信息&#xff0c;包括文件名、路径等 --> <p v-down"map">这是文件名</p> js代码…

使用npm下载vue-router(vuex)路由报错,“export ‘XXXX‘ was not found in ‘vue‘

vue-router vuex 报错同理 vue-router vuex 报错同理 今天在写vue项目使用cnpm下载路由&#xff0c;然后就报错"export ref was not found in vue 原因&#xff1a;cnpm install vue-router --save 现在默认下载的是4.x的版本 &#xff0c;我是用的是…