Mimics医学建模学习笔记

article/2025/10/12 1:38:02

也是前不久开始学习CT三维建模,找了好些建模方法,后来还是采用了Mimics软件平台进行CT三维建模。以下分享下用到的一些资料。

mimics 16软件压缩包及安装方法百度云:

链接:https://pan.baidu.com/s/1hFIrdBfRE-VbFV3oGqW26Q     提取码:dz8c 
 

官方配套mimics 16简单操作视频:

链接:https://pan.baidu.com/s/19gWkK-1H0UfO9pS2FwYS3w     提取码:k2ks 

mimics 19 软件压缩包及安装视频和安装文档教程:
链接:https://pan.baidu.com/s/1sML-YsxgxudGKcs9Or1s7w       提取码:uig0 

其它一些mimics的文档教程:

链接:https://pan.baidu.com/s/1TWtEIq0K0-P-V8DHOd_FGg       提取码:c2x7

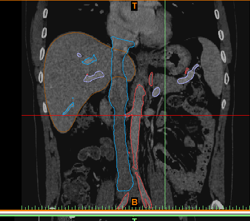
最后建模出来的效果:

股骨:

     

正面图(肝脏+动脉+门静脉+腔静脉)                                反面图                                                          透视图

        

三种视图:

开始在网上买的全套两百多的全套视频教程与配套CT图,考虑到版权问题,就不在这分享了


http://chatgpt.dhexx.cn/article/dPskHELj.shtml

相关文章

Mimics:快捷键介绍

Mimics 软件介绍 mimics界面翻译mimics快捷键2D窗格:编辑图层(Edit Masks)3D窗格:观察几何(3D Objects) mimics界面翻译 mimics快捷键 视图快捷键 操作快捷方式1快捷方式2适用窗格平移Shift按住鼠标右键移…

Mimics 21.0 安装

文章目录 Mimics 21.0安装教程安装前准备主程序安装Mimics3-matic汉化教程 功能介绍模块介绍基础模块可选模块 软件优势比利时 Materialise 公司介绍 Mimics 21.0 安装教程 安装前准备 1.首先下载安装文件。 2.下载文件后解压文件,在网盘下载的要把几个分卷一起…

Mimics 21安装

Mimics 21破解版是一款非常专业的交互式的医学影像控制系统,全称为“Materialises interactive medical image control system”,是全球领先的致力于快速成型领域的开发与研究的Materialise公司发明的一种医学影像控制系统,是模块化结构的软件…

Mimics 21.0软件学习笔记(一)基本操作

Materialise Mimics Medical 21.0 打开工程窗口化Thresholding 二值化Region growing区域增长创建一个3D表示,并显示股骨头从髋臼中区分出来,并单独为股骨头建立3D模型 CT图像的形态学操作STL过程 STL 生成 打开工程 Opening the Project窗口化 Windowin…

Mimics-基础操作教程-2

本篇主要介绍 MIMICS 中的 VIEW 菜单各项功能。 Camera 各选项功能介绍 1. Rotate选项: 旋转功能 Rotate 旋转功能只能在三维模型视图上使用,有以下几种不同的方法来实现旋转功能。 a. 使用用鼠标右键拖动; b. 使用箭头键进行精确旋转…

Mimics-基础操作教程-1

1. Mimics简介(Mimics21) Mimics---是一种交互式医学图像处理软件,是一个连接二维图像数据(CT, MRI, 工业扫描数据)和三维工程学应用的图像处理工具。应用领域包括:解剖学测量、三维分析、有限元分析(FEA)、客制化植入体或装置设…

dcl java_Java内存模型之从JVM角度分析DCL

DCL,即Double Check Lock,中卫双重检查锁定。其实DCL很多人在单例模式中用过,LZ面试人的时候也要他们写过,但是有很多人都会写错。他们为什么会写错呢?其错误根源在哪里?有什么解决方案?下面就随…

java dcl_【Java并发(七)】--java内存模型之DCL

如未作特殊说明,本文均为原创,转发请注明出处 [TOC] 前言 ​ 提到双重检查锁(Double-Checked Locking)通常简称为DCL,肯定很多人第一时间想到的就是单例模式。 ​ 单例模式通常有两种方式:饿汉与懒汉模式。那么懒汉模式采用了延迟…

java 单例 dcl_DCL单例到底需不需要volatile修饰

我们先来回答这个问题 DCL单例一定需要volatile修饰。 volatile有两个功能 内存可见 防止指令冲排序 这里主要考察volatile第二个功能。在介绍为什么DCL单例一定需要volatile修饰之前,我们先来看一下DCL单例和类实例化过程。 DCL单例 public class SingleExample { …

DCL命令

目录 1.MySQL中的权限 2.命令 2.1grant:赋权,给某个用户授予指定的权限。 2.2revoke:移除指定用户的权限 1.MySQL中的权限 角色:拥有某一类权限的用户的统称。比如:超级管理员,root;普通用户…

DCL单例模式

一、对象的创建过程 视频教程 对象的创建过程: 创建->初始化->建立连接 1.先申请内存,赋值默认值0 2.构造方法赋值初始值,8 3.建立连接,t->T 二、DCL单例 我们第一次写的单例模式是下面这样的: public cla…

MySQL之DCL

DCL (Data Control Language) DDL: create / alter / dropDML:insert /update/deleteDQL :select /showDCL :grant /revoke ​ 我们现在默认使用的都是 root 用户,超级管理员,拥有全部的权限。但是&#…

DCL

管理用户、授权 1.管理用户 1.添加用户 2.删除用户 3.修改用户 4.查找用户 注意: 通配符% 表示可以在任意主机使用用户登录数据库 2.权限管理 1.查询权限 2.授予权限 3.撤销权限

Java ~ 双重检查锁(DCL)的原理与失效原因

前言 为了保证线程的安全性,往往要以牺牲性能为代价。为了兼得二者,前人进行了多番尝试,也确实创造出诸多有效方案,双重检查锁就是其中的一种。 DCL:Double Check Lock(双重检查锁)。令人哭笑不…

DCL——数据控制语言

DCL全称是Data Control Language,即数据控制语言,主要是用来管理数据库用户,控制数据库的访问权限。 1、查询用户 use mysql; select * from user; 在MySQL中 用户的信息和具有的权限的信息 都是存放在系统数据库mysql中的user表中。 ※ho…

JUC 第1章JUC简介

JUC简介 是什么 java.util.concurrent在并发编程中使用的工具类 2.进程/线程回顾 2.1进程/线程 进程:进程是一个具有一定独立功能的程序关于某个数据集合的一次运行活动。它是操作系统动态执行的基本单元,在传统的操作系统中,进程既是基本…

《尚硅谷高级技术之JUC高并发编程》学习笔记07——JUC三大辅助类

文章目录 减少计数:CountDownLatch循环栅栏 CyclicBarrier信号灯 Semaphore总结 JUC 中提供了三种常用的辅助类,通过这些辅助类可以很好的解决线程数量过多时 Lock 锁的频繁操作。这三种辅助类为: CountDownLatch: 减少计数CyclicBarrier: 循…

JUC和线程池的详细讲解

这里写目录标题 JUC介绍基本概念JUC中的类和接口主要包含功能线程池为什么使用线程池什么是线程池使用线程池的特点优点缺点JUC中的线程池Executor介绍ThreadPoolExecutorThreadPoolExecutor是JUC中提供的默认线程池实现类构造方法参数详解corePoolSize 核心线程数2. workQueue…

JUC(并发编程)

该笔记大部分搬运B站遇见狂神说的javaJUC,顺便把图文合并记录,便于回顾 视频地址:【狂神说Java】JUC并发编程最新版通俗易懂_哔哩哔哩_bilibili记得三连 目录 1.什么是JUC? 2.线程进程和程序 3.Lock锁(重点) 4.生产者和消费者问题! 5.八锁现…